안녕하세요. 남양주 진접 청담탑정형외과입니다^^
"손목 통증으로 부대 근처 병원을 방문해서 약처방을 받아 복용을 했지만, 효과가 없어요..계속 아파요ㅠ"
라고 말씀하신 20대 군인이 찾아와주셨습니다!
★ 다친 적이 없는데, 팅팅 붓고 극심한 통증이 있으면 의심을 해야 할 3가지를 아시나요?
1. 석회 2. 통풍 3. 감염
이렇게 3가지 입니다.
3가지 中 무엇인지 찾아야겠죠?

2가지의 진단
- 엑스레이(xr)

- 정밀 초음파

이 2가지의 검사로 석회가 있어서 손목의 통증이 일어난걸로 확인이 된답니다.
석회 상태에 따른 서로 다른 치료법
- 휴지기 상태의 석회성 건염은 대부분 증상을 일으키지 않으므로 대부분 적극적인 치료가 필요없어요.
→ 석회 병변이 자극(충돌)이 되는 자세를 피하고, 해당 근육을 스트레칭합니다.
- 흡수기 상태에는 1년 中 1~2번 염증으로 극심한 통증을 유발할때
→ 초음파를 보며 소염제 주사치료로 통증을 줄이고, 석회 병변을 묽게하여 체외 충격파 시 잘 흡수 되도록 합니다.
→ 심한 통증이 소염제로 조절이 되면, 체외 충격파를 통해 석회를 흡수시켜 재발을 막아줍니다.
청담탑정형외과의 체외 충격파 치료 경과가 좋은 이유
- 원장님께서 직접 초음파로 정확한 위치 Ckeck

- 원장님의 세세한 Charting + 숙련된 충격파 팀의 협업
- 올바른 스트레칭 + 피해야할 자세 교육
- 명품 체외 충격파 기계 - STORZ
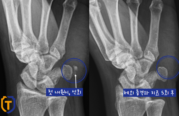
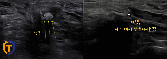
체외 충격파 후, 손목 경과

전, 후가 확연한 차이가 보이네요!

초음파상 덩어리는 없어지고, 가루들만 조금 남아보입니다.
체외 충격파 원리가 무엇일까요?
1 | 손상된 인대와 근육을 재생 시킨다 |
2 | 반복된 사용, 손상으로 짧아지고 경직된 근섬유 조직을 늘리고 이완시켜, 감소된 관절 범위를 정상화 시켜준다. |
3 | 부종을 감소시키고, 체액의 흠수를 도와 조직을 회복시킨다. |
4 | 혈액순환을 개선해 골절 유합을 촉진하고, 손상된 관절낭을 회복시킨다. |
5 | 염증으로 예민해진 신경섬유를 회복시켜 통증에 대한 민감도를 떨어뜨린다. |
저희 진접 청담탑정형외과의 충격파 치료 기계는 STORZ!!!

비싼 기계라서 그만큼 통증 완화의 효과가 엄청 뛰어납니다^^
"석회성 건염"뿐만 아니라 다른 질병이나 통증에도 체외 충격파 치료가 가능하니,
청담탑정형외과를 방문하셔서 받아보세요★
안녕하세요. 남양주 진접 청담탑정형외과입니다^^
"손목 통증으로 부대 근처 병원을 방문해서 약처방을 받아 복용을 했지만, 효과가 없어요..계속 아파요ㅠ"
라고 말씀하신 20대 군인이 찾아와주셨습니다!
★ 다친 적이 없는데, 팅팅 붓고 극심한 통증이 있으면 의심을 해야 할 3가지를 아시나요?
1. 석회 2. 통풍 3. 감염
이렇게 3가지 입니다.
3가지 中 무엇인지 찾아야겠죠?
2가지의 진단
이 2가지의 검사로 석회가 있어서 손목의 통증이 일어난걸로 확인이 된답니다.
석회 상태에 따른 서로 다른 치료법
→ 석회 병변이 자극(충돌)이 되는 자세를 피하고, 해당 근육을 스트레칭합니다.
→ 초음파를 보며 소염제 주사치료로 통증을 줄이고, 석회 병변을 묽게하여 체외 충격파 시 잘 흡수 되도록 합니다.
→ 심한 통증이 소염제로 조절이 되면, 체외 충격파를 통해 석회를 흡수시켜 재발을 막아줍니다.
청담탑정형외과의 체외 충격파 치료 경과가 좋은 이유
체외 충격파 후, 손목 경과
전, 후가 확연한 차이가 보이네요!
초음파상 덩어리는 없어지고, 가루들만 조금 남아보입니다.
체외 충격파 원리가 무엇일까요?
저희 진접 청담탑정형외과의 충격파 치료 기계는 STORZ!!!
비싼 기계라서 그만큼 통증 완화의 효과가 엄청 뛰어납니다^^
"석회성 건염"뿐만 아니라 다른 질병이나 통증에도 체외 충격파 치료가 가능하니,
청담탑정형외과를 방문하셔서 받아보세요★